矯正歯科
矯正歯科
矯正歯科とは
矯正歯科とは、一般的には不正咬合、例えば出っ歯・受け口・乱ぐい歯・八重歯などを、自分の歯を生かして治療することです。 これは、単に見ためによい歯並びにするというだけでなく、歯槽膿漏、虫歯、咀嚼障害、その他のいろいろの病気を予防するためにも、大変重要な歯科治療なのです。 矯正治療後、歯の色が気になる方は、ホワイトニングによって、歯を白くすることができます。
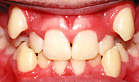
八重歯・乱ぐい歯(叢生:そうせい)
でこぼこに生えた乱ぐい歯、犬歯が飛び出した八重歯などのことを言います。 歯と小さくなったあごの大きさとの不調和が原因とされており、歯ブラシの毛先が届きにくいために、長い間に虫歯や歯周病(歯槽膿漏)にかかりやすくなります。



デーモンシステム
ワイヤーをブラケットに固定することなく、ブラケットに作られている隙間部分にワイヤーを通すデーモンブラケットが特徴です。
当院では、このシステムを積極的に行っております。
デーモンシステムの長所
- 非常に良い治療結果
- 非常に短い治療期間
- 非常に少ない調節回数
デーモンシステムと従来のブラケットの比較
従来のブラケット
従来のブラケットではワイヤーを押さえておくために結紮が必要でした。

結紮とはバンジーコードのようなものです。
摩擦や圧力の原因となり、治療を遅く、不快にしてしまいます。

デーモンシステムのブランケット
デーモンシステムのブラケットはスライドメカニズムなので、摩擦とワイヤーの動きを止めるのを最小限にします。

デーモンシステムはより自由かつ快適に歯を動かします


矯正治療の流れと治療費のご案内
1. 初診相談 無料 (所有時間約30分)
簡単な視診による説明と矯正治療についての概略を説明
2.精密検査(\21,600)
レントゲン撮影、歯型採得、顔貌および口の中の写真撮影
3.診断(\21,600)
診断結果および治療方針、治療費についての説明
4.矯正の為の抜歯(1本 \5,400)
5.矯正装置装着の前準備(保険治療になります)
むし歯の治療、歯周病の治療(歯石の除去、etc)
フッ化物(歯を強くする薬)の塗布
6.矯正治療の開始(治療費の半額を入金していただきます)
7.装置の調整(月に\3,240)
その月に何度来院されても追加料金は頂きません。
治療費
| 局所矯正 | 1)15~30万円+消費税
| 部分的な矯正
|
|
| 2)20~35万円+消費税 | 初期治療(咬合誘導) 乳歯、混合歯列期の矯正 |
||
| 本格矯正 | 歯だけに 限局したもの |
1)55万円+消費税 | メタルブラケット |
| 2)60万円+消費税 | ホワイトブラケット | ||
| 3)70万円+消費税 | デーモン3 | ||
| 顎の骨に問題が あるもの 上顎前突 (出っ歯)など |
60万円+消費税 | 矯正装置の種類によって、金額の差があります。 | |
| 顎の骨に問題が あるもの 下顎前突 (受け口)など |
65万円+消費税 | ||
※子どもの治療の場合、初期治療と本格矯正のⅡ期に分けて、治療する時には前期の治療費と本格矯正の治療費より差し引かせて頂きます。

